Em Ribeirão Preto, um grupo de pesquisadores da Faculdade de Filosofia, Ciências e Letras (FFCLRP) da USP e do Supera Parque de Inovação e Tecnologia de Ribeirão Preto criou um aplicativo capaz de identificar se um paciente está com a covid-19, a partir de uma simples radiografia de pulmão. O aplicativo também pode ser utilizado para fazer triagem de pacientes com suspeita de covid-19, pois permite a análise de várias imagens ao mesmo tempo.

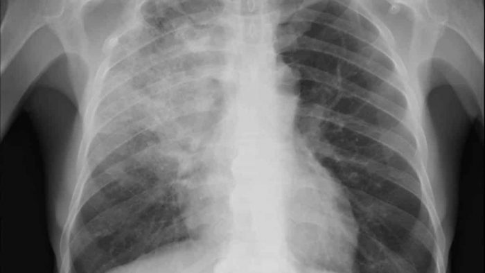
Para criar a ferramenta, na primeira etapa os pesquisadores analisaram 3.500 imagens, sendo duas mil de pacientes com a covid-19; outras quinhentas de pacientes com tuberculose e mil de pessoas sem nenhuma doença. Elas foram obtidas de repositórios de Brasil, China, Estados Unidos e Itália.
Formada em Fonoaudiologia e Informática Biomédica e doutora pela USP, a pesquisadora Paula Cristina dos Santos, uma das responsáveis pelo desenvolvimento do aplicativo, explica que foram separadas nas 3.500 imagens somente a área do pulmão, e que “em seguida foi feita uma análise estatística, usando algoritmo capaz de distinguir os três grupos de pacientes: aqueles com a covid-19, aqueles com tuberculose e aqueles sem nenhuma doença”. Para nomear o aplicativo, a equipe decidiu homenagear Marie Curie. A cientista, nascida em Varsóvia, na Polônia, foi a primeira mulher a ganhar um Nobel e única pessoa até hoje a ganhá-lo duas vezes, um de Física e outro de Química.

Paula dos Santos explica que na primeira etapa, após o agrupamentos das imagens, já foi possível detectar as diferenças entre as imagens de pulmões afetados pela covid-19 e as imagens daqueles afetados pela tuberculose – e até mesmo diferenciar alterações causadas pela malária. “Foram identificadas 144 características, sendo 42 específicas da covid-19. Percebemos que essas características também têm níveis, dependendo do estágio da doença: mais leves, moderados e graves. Agora estamos fazendo estudos mais aprofundados, usando outros algoritmos, para estudar essa evolução nas imagens.”
Outro fator que chamou a atenção dos pesquisadores foi a confirmação do aumento na densidade do pulmão, que fica com “o aspecto de branco jateado, chamado na medicina de ‘vidro fosco’ ”. Essa é uma característica muito forte dos pacientes com a covid-19, como já relatado em vários artigos científicos. “Na covid-19 o ‘vidro fosco’ tem apresentado uma forma diferente até em relação a outras patologias que apresentam essa característica, por isso o aplicativo consegue agrupar”, comenta.
Mesmo com detalhes ainda a serem ajustados, Paula afirma que o aplicativo Marie apresenta uma assertividade de 93% a 98% no diagnóstico de pacientes com a covid-19. “Percebemos que a assertividade cai quando o paciente está na fase inicial da doença, mas em pacientes com grau mais avançado, a assertividade chega a 98%. Então o que precisamos é aprofundar o estudo dos casos leves”.

Outra vantagem do aplicativo Marie, segundo a professora Geraldine Góes Bosco, do Departamento de Computação e Matemática da FFCLRP, que também participou do desenvolvimento, é o fato do médico poder enviar pelo celular várias imagens para triagem e diagnóstico, ou somente uma imagem para diagnóstico. “Isso pode auxiliar o profissional onde quer que ele esteja, pois o aplicativo consegue analisar e processar várias imagens ao mesmo tempo e dar a resposta em poucos minutos.”
Paula dos Santos e a professora Geraldine Bosco trabalham em parceria no combate à covid-19. “Eu e a Paula estamos tentando trabalhar juntas desde 2017, e a pandemia catalisou a vontade de contribuirmos com a sociedade de alguma forma, em relação ao diagnóstico e triagem de pacientes.”
O trabalho também teve a participação da pós-graduanda Jéssica Caroline Lizar, do programa de Doutorado em Física Aplicada à Medicina e Biologia (FAMB), do professor Sílvio Morato, do Departamento de Psicologia da FFCLRP, além do administrador Alexandre Hatae, formado pela Fundação Getúlio Vargas (FGV). Os pesquisadores procuram financiamento para o projeto, portanto, empresários interessados podem entrar em contato.
Mais informações: e-mail [email protected] (professora Geraldine) ou [email protected] (Paula dos Santos).
Via Jornal da USP

